Як довго заживають ясна після видалення зуба
Навряд чи хтось дуже зрадіє, якщо стоматолог порекомендує видалення зубів. Але бувають ситуації, коли доводиться це зробити. У стоматологічному центрі White Clinic до такої процедури вдаються лише в крайніх випадках, коли інші методи лікування неможливі. Це означає, що спочатку дантисти намагаються зберегти зубну одиницю за допомогою сучасних технологій. Але якщо лікар все-таки запропонував екстракцію, варто бути готовим до того, що може очікувати після хірургічного втручання.
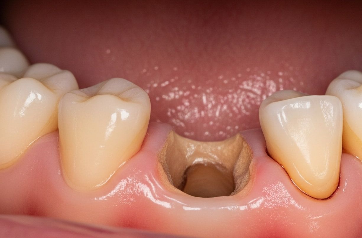
Етапи загоєння лунки після видалення зуба
У більшості випадків, рана на яснах після видалення зуба загоюється протягом 2-3 тижнів. А от повне відновлення кісткової тканини може тривати кілька місяців. Тривалість повного одужання безпосередньо залежатиме від складності операції, загального стану вашого здоров’я, імунітету, віку, а також від того, як ви дотримуватиметеся рекомендацій лікаря.
Травмована внаслідок хірургічного втручання ясна відновлюватиметься в кілька етапів:
- Протягом першої доби має сформуватися кров’яний згусток, який захищатиме рану від потрапляння їжі та створить основу для подальшого відновлення тканин.
- Протягом 14 днів рана покривається новим епітелієм, що є важливою фазою для захисту від можливого запалення.
- Протягом кількох наступних місяців триває відновлення кісткової тканини, що завершує загоєння лунки.
Помірний біль, набряк, незначне підвищення температури, гематома та оніміння – це нормальні симптоми як після вирваного зуба мудрості, так і будь-якого іншого. Щоб знову почуватися здоровим та уникнути можливих ускладнень, у жодному разі не ігноруйте порад, наданих вам стоматологом.

Рекомендації для швидкого загоєння, якщо вам вирвали зуб
Щоб лунка після видалення зуба загоїлася якомога швидше, важливо неухильно дотримуватися таких рекомендацій:
- Протягом перших 24 години не полощіть рот, щоб не вимити кров’яний згусток.
- Прикладіть лід або холодний компрес на щоку, щоб зменшити набряк і зупинити кровотечу.
- В перші 2-3 години відмовтеся від їжі та напоїв. В наступні дні уникайте гострого, кислого та солоного.
- Регулярно чистьте зуби м’якою щіткою, оминаючи ділянку лунки.
- Ополіскуйте ротову порожнину, використовуючи теплі антисептичні розчини, наприклад, настоянку ромашки або хлоргексидин.
- Віддавайте перевагу м’якій їжі, жуючи на протилежному боці щелепи.
- Уникайте шкідливих звичок: не куріть і відмовтеся від алкоголю.
- Відпочиньте. Відмовтеся від будь-яких фізичних навантажень, які можуть підвищити тиск та спровокувати кровотечу.
- Своєчасно приймайте призначені ліки.

Коли варто звернутися до лікаря
Якщо у вас виникли будь-які побоювання, сумніви або запитання щодо загоєння, краще проконсультуватися зі своїм стоматологом. Не можна відкладати візит у клініку в таких випадках:
- Якщо після закінчення дії анестезії ниючий біль переходить у пульсуючий, дискомфорт посилюється або триває більше, ніж 2-3 дні.
- Якщо вам вирвали зуб, і кровотеча не зупиняється протягом 12 годин.
- Якщо виявили значне почервоніння навколо лунки.
- Якщо з’явилися гнійні виділення та неприємний запах з рота.
- Якщо при спробі відкрити рот біль посилюється.
- Якщо ви помітили, що накладені лікарем шви розійшлися або випали.
У стоматологічному центрі White Clinic працюють професіонали, які видалять зуб максимально безболісно й нададуть результативні рекомендації для якнайшвидшого загоєння. Кваліфіковані спеціалісти забезпечать комфортність процедури та коректно проведуть всі необхідні маніпуляції. Ми ефективно вирішимо всі ваші проблеми з зубами!