Встановлення та виготовлення бюгельних протезів у Києві

00
Встановлення та виготовлення бюгельних протезів у Києві

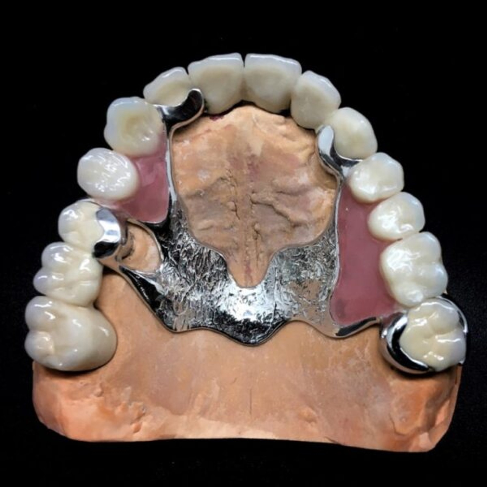
Бюгельний протез – це один з видів зйомних ортопедичних протезів. Ми рекомендуємо його своїм пацієнтам, якщо їм потрібно виправити дефект зубного ряду, а також при лікуванні пародонтиту, оскільки рухливі зуби надійно фіксуються конструкцією. У нашій клініці можливо встановити два типи бюгельних протезів: з кламмерной опорою і з мікрозамкових фіксацією.

У першому випадку в протезі використовуються металеві гачки, тому немає необхідності обточувати опорні зуби. Такий вид характеризується тривалим терміном служби і надійністю. Бюгельний протез на кламмерах має тільки один недолік: на зубах помітні металеві гачки.

Протези з мікрозамковим кріпленням непомітні для оточуючих. У цьому ви можете переконатися, якщо подивитеся фото наших пацієнтів з встановленими протезами даного виду. Якщо правильно доглядати за конструкцією, її можна використовувати більш десяти років.

Ціни на послугу:

Піднебінний бюгель складний
14000 грн.
Піднебінний бюгель простий
4500 грн.
Одноразовий стерильний набір - огляд ортопедія
300 грн.
Консультація ортопеда
800 грн.
Бюгельний протез кламерний
17000 грн.
Бюгельний протез замковий
20500 грн.
Бюгельний протез ацеталовий (безметаловий)
12500 грн.

Акції, що входять до послуги

Бюгельні протези: переваги та їх недоліки

В основі бюгельного протеза є металевий дугоподібний каркас, на який встановлюють пластмасовий базис і штучні зуби. Завдяки міцній металевій основі навантаження на щелепу розподіляється рівномірно. Ще один плюс: розмір протеза невеликий, що робить його зручним у використанні.

Якщо порівнювати з іншими видами протезів, бюгельні служать набагато довше. Їх набагато простіше експлуатувати і вони займають мало місця. Оскільки протези зйомні, догляд за ними не складе труднощів. Наші стоматологи рекомендують сам протез очищати водою, а для штучних зубів досить звичайної зубної щітки і пасти.

Також перевага в тому, що є великий вибір штучних зубів для бюгельних протезів. У стоматології White Clinic ви можете вибрати бажану форму і колір, щоб ваша посмішка виглядала максимально природно. До таких протезів ви швидко звикнете, і не будете відчувати дискомфорту при носінні.

Бюгельне протезування має і свої недоліки, про які ми заздалегідь попереджаємо пацієнтів. По-перше, протези з кламерами надають додатковий тиск на опорні зуби. Але в конструкціях з мікрозамках цей недолік усунуто. По-друге, для пацієнтів недоліком є ​​ціна. Вона порівняно висока, але цілком виправдана бездоганною якістю конструкцій і тривалим терміном експлуатації. Актуальну вартість ви можете дізнатися на нашому сайті. Якщо залишилися питання, пишіть, телефонуйте, а краще – приходьте особисто на безкоштовну консультацію до наших стоматологам.

Запишіться або проконсультуйтесь

Наш Адміністратор допоможе Вам з вибором спеціаліста та запише на зручний для вас час відвідування нашої клініки!

ЗАТЕЛЕФОНУЙТЕ НАМ!
+380 (67) 268-35-64