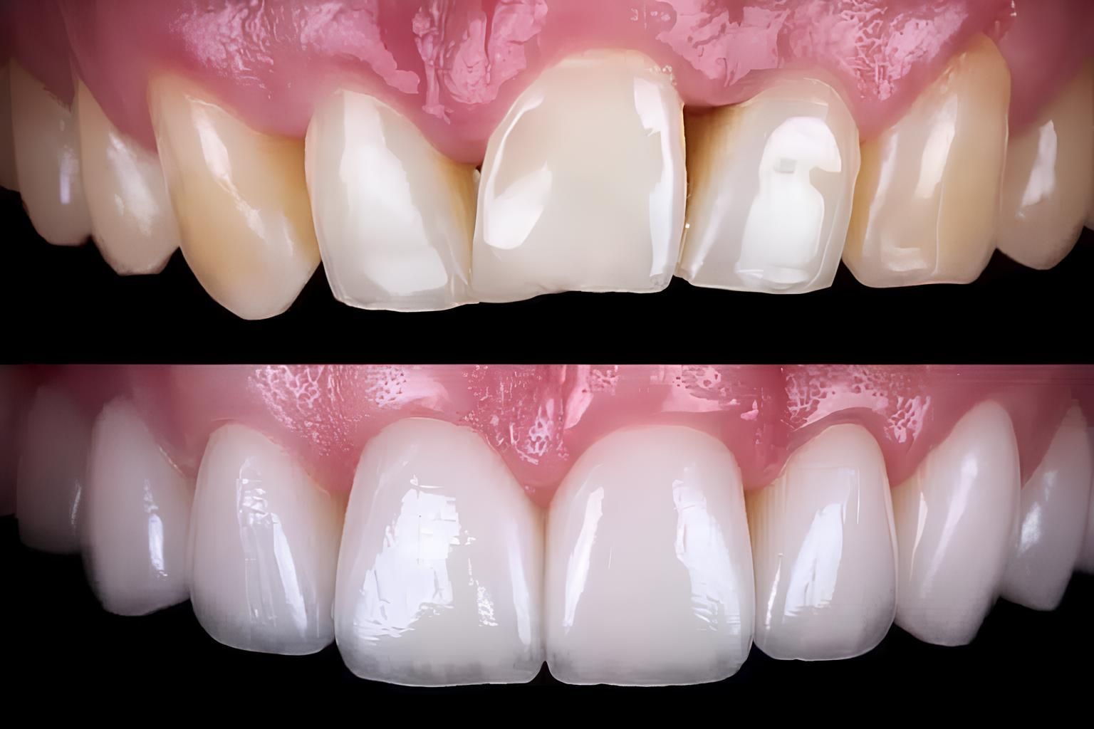
Виправлення естетичних проблем за допомогою керамічних вінірів та коронок
У наш час мати красиві зуби – обов’язок кожної людини. Адже осяйна усмішка – це естетично, корисно для здоров’я, приємно для навколишніх. А ще – цілком реально! Адже сучасні технології дозволяють виправити будь-які недоліки: як вроджені, так і набуті. Для тих, хто мріє про бездоганну зовнішність, ніби з обкладинки модного журналу, стануть у пригоді керамічні вініри та коронки.
На які зуби накладають вініри
Якщо зубний ряд викривлений, емаль на різцях або іклах потемніла, на поверхні з’явилися сколи чи тріщини, лікарі стоматологічного центру White Clinic рекомендують поставити вініри. Ці тонесенькі накладки також підійдуть людям з такою неприємною проблемою, як великі міжзубні щілини.
Наші пацієнти досить часто цікавляться, на які зуби накладають вініри. Відповідаємо: найчастіше їх встановлюють на 8 нижніх і 10 верхніх зубах. Також досить поширеним є запитання, люди якого віку найчастіше встановлюють вініри. Переважно, це дорослі чоловіки та жінки. До досягнення 18-річчя процедури краще уникати, оскільки зубощелепна система перебуває в процесі формування.

Як швидко можливо поставити вініри на зуби? Ця методика, переважно, застосовується, коли потрібен швидкий результат.Щоб встановити мікропротези, знадобляться 2 візити до спеціаліста. Загалом, ви витратите від 3 до 6 годин свого часу. Будьте уважні, не плутайте вініри з люмінірами
Ціна стоматологічних вінірів залежить від використаного матеріалу, способу виготовлення пластин та методу їх кріплення на зуб. Це одна з найбільш дорогих стоматологічних процедур. Але отриманий результат того вартий!
У яких випадках підійдуть коронки
Зубні коронки використовують для реставрації пошкоджених, зламаних, омертвілих або зруйнованих зубів, на які неможливо встановити вініри. Напівпрозорі керамічні протези дуже легко сплутати зі справжніми зубами. Зовні вони не відрізняються взагалі. Їх, зазвичай, встановлюють у зоні усмішки – для відновлення різців та кликів. Оскільки коронки фіксують в роті, вони набагато стійкіші, ніж інші типи протезів.

Показання до встановлення зубних коронок:
- Великі пломби.
- Стерті зуби.
- Зламані зуби.
- Відсутність зуба (коронку встановлюють після імплантації).
- Неоднорідний колір та форма зубного ряду.
А от при неправильному прикусі з коронками поспішати не варто. Спочатку радимо виправити основну патологію. Якщо ж ви все-таки вирішили встановити протези, будьте готові до того, що коронки прослужать недовго. Через перевантаження вони швидко ламатимуться й сколюватимуться. Оскільки неправильне змикання зубів призводитиме до нерівномірного розподілу жувального навантаження на зуби.

Точну ціну керамічної коронки на зуб стоматолог-ортопед зможе назвати після ретельного огляду ротової порожнини та постановки діагнозу. У вартість встановлення кераміки будуть входити такі послуги: обробка зуба, зняття відбитків, виготовлення коронки в зуботехнічній лабораторії, примірка та фіксація.
Якщо ви не знаєте, чим вирівняти зуби, або як повернути їм колишню білизну, найкращий варіант прийти на консультацію White Clinic. Ми ефективно вирішуємо навіть найскладніші проблеми з зубами!